"The doctor worked within my budget so I could get all my dental work done. He discussed treatment and payment with me first – so I wouldn't have any surprises halfway through. I knew what to expect."
Teresa S.
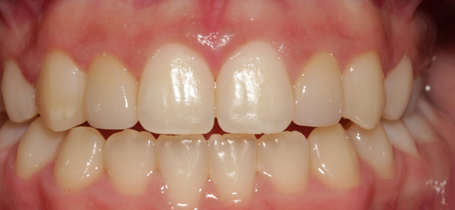
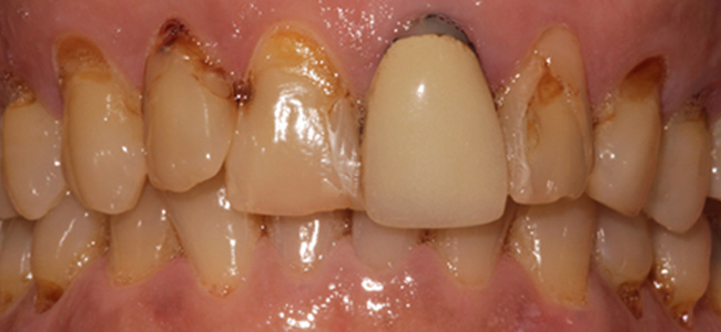
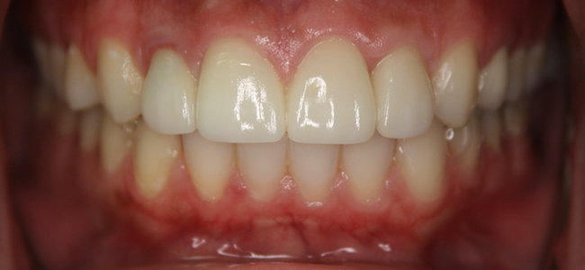
Click on any photo, then use the slider to see the difference we can make.


"The doctor worked within my budget so I could get all my dental work done. He discussed treatment and payment with me first – so I wouldn't have any surprises halfway through. I knew what to expect."
Teresa S.